Well, the doctor did some measurements and according to Cheyenne's growth and development, I'm actually ahead of schedule. So, my due date has moved from November 28th to November 18th. Maybe I'll get to have some turkey after all.
Currently, she weighs 2 lbs and a few ounces.
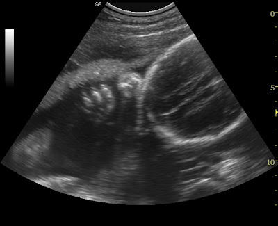
Cheyenne snuggled in there real good.

The top of her head

A shot of her arm

Just another confirmation that she is, in fact a girl

Snapshot of her face

No comments:
Post a Comment